一般撮影
一般撮影検査について
一般撮影は皆さんが一番撮影する機会が多い検査です。
胸部、腹部をはじめ、頭部、椎体(頚椎・胸椎・腰椎)、骨盤、四肢など、全身の骨の撮影を行います。X線を用いて痛みを感じることなく、体の中の様子を調べることができる検査です。病変や骨折などを診断しやすくするため、いろいろな体位、方向から撮影します。 読影(画像診断)は日本放射線学会で認定されている経験豊富な放射線専門医が担当しています。
![]() |
![]() |
![]() |
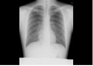
| 胸部 | 腹部 | 頭 |
![]() |
![]() |
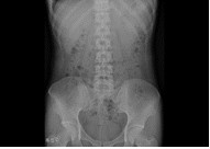
| 頸椎 | 腰椎 |
![]() |
![]() |
![]() |
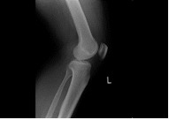
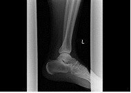
| 膝 | 手関節 | 足関節 |
アナログシステムからデジタルシステムへ
従来のX線撮影はアナログシステムでした。被写体(胸部、腹部、骨など)を通り抜けてきたX線を蛍光体で吸収し、蛍光体が発する光をフィルムに記憶し、暗室で現像して一枚の写真を仕上げていたため、写真をお渡しするまで時間がかかっていました。
現在ではIP(イメージングプレート)・FPD(フラットパネルディテクタ)を用いたデジタルシステムの発達により、X線ばく射後わずかな時間でモニター表示され、格段に処理が早くなり、お待たせする時間が短くなりました。
また、デジタル化したことで画像の見え方のバラツキが少なくなり、前回画像との比較がより正確に行えるようになりました。
検査時の注意事項
- 1.
- 一般撮影検査を行う際、撮影部位にある金属類、湿布等は検査の妨げとなるため、外してください。
- 2.
- 検査部位により、検査着に着替えて頂くことがあります。
- 3.
- 妊娠中または妊娠の可能性のある方は、必ず検査前に医師または担当技師にお知らせください。


















