検査・病理センター
医師紹介
- 志賀 淳治 検査・病理センター長
-
臨床検査管理医認定 日本病理学会専門医・指導医 死体解剖資格認定
検査・病理センター(病理診断科)紹介
組織
組織発足の平成18年4月からの準備期間を経て、平成19年度の4月、新病棟への移転とともに本格的に業務をスタートいたしました。
病理医師1名(病理専門医)、検査技師3名(うち細胞検査士2名)の体制で運営をしております。
日常業務
検査・病理センターの仕事は文字通り病理診断です。病理診断とは例えば胃の内視鏡において胃癌を疑った場合に医師がその一部を採取(生検といいます)して病理に送り、実際に癌細胞が存在するかどうかの確認を行うことです。あるいは婦人科で細胞のみを採取して癌診断を行う場合もあります(細胞診)。病理診断科のない病院ではそれらを病院外の検査センターに送り、そこで標本を作製して病理の医師が診断しているために確定診断がでるまでに、通常1週間~10日かかりますが、当院では病理医が常駐しているので早ければ翌日、通常は翌々日には診断ができます。また手術中に病理診断が必要な場合が時に生じますが(これを迅速診断と言います)、その場合には平均30分で診断を行っています。迅速診断に関しては当院のみならず、近傍の船橋総合病院、谷津保健病院、千葉愛友会記念病院の迅速診断を引き受けています。
病理解剖
病院で死亡された患者さんの死因を明らかにするために解剖を行うことがあります。解剖に関しては船橋、三郷中央総合病院、千葉愛友会記念病院、柏厚生総合病院、浅草病院および八潮中央総合病院を受けています。大学付属病院以外で他の病院の解剖を行っているところはほとんどないので、これがここの特色といえます。このように当病院の病理診断科はこの地域の病理センターの役割を果たしております。ちなみに平成19年度の解剖例は8例、20年度は12例、平成21度は9例、平成22年度は11例です。
臨床的に死因、病因がはっきりしない症例や、病理解剖により真の診断が明らかとなった症例も少なくなく、病理解剖の役割を果たせたと考えています。
勉強会
- 1.
- 解剖例に関しては基本的に全例、臨床医病理カンファランス(CPC)を行っています。
- 2.
- 内視鏡カンファランスを1ヶ月に1回(第2火曜日)定期的に、午後6時から内視鏡担当医、研修医と行い、臨床的に問題症例を検討しています。
- 3.
- また不定期ですが、昼休みにランチョンセミナーと称して食事しながら検査科と勉強会を行っています。大体3カ月に一度のペースです。
内容は主として症例検討ですが、病理や細胞診のレクチャーのこともあり、症例検討の場合には必要に応じて放射線科、診療部のメンバーを招いてお互いに議論をかわしています。

術中迅速診断

- ・目的は手術による切除断端の確認が一番多い。其の他に予期せぬものが発見されたとき、其の他リンパ節転移の有無など。
- ・固定は検体を凍らせることにより行う。10分程度で結果を出す。欠点として標本が厚く、解像度が低いので誤診をだす可能性がある。
免疫染色

- 蛍光抗体法によるアスペルギルスの証明

- 津田沼病院の症例(乳がん)
- HER2:津田沼病院の症例(乳がん)
- ・HER:Human epidermal growth factor= 上皮細胞増殖因子
- ・乳がんで発現している場合がある。増殖能が高い。
- 陽性ならば抗HER抗体(ハーセプチン)で治療を行う。

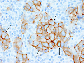
リンパ節に転移したHER2陽性乳がん:
細胞膜に茶色に染まっているのがHER2.
統計図
病理解剖
解剖番号 |
実施日 |
臨床診断 |
病理診断 |
|---|---|---|---|
TA-0701 |
2007.08.31 |
胆道系腫瘍 |
1.肝内胆管癌 2.敗血症 |
TA-0702 |
2007.09.28 |
空腸腫瘍 |
1.悪性リンパ腫(B大細胞) 2.出血性十二指腸潰瘍 |
TA-0703 |
2007.12.04 |
上部消化管出血 |
1.アルコール性肝硬変 2.食道静脈瘤破裂 |
TA-0704 |
2007.12.18 |
胃瘻再造設後の腹膜炎の疑い |
1.消化管出血 2.肺腺維症 3.陳旧性小脳梗塞 |
TA-0801 |
2008.01.25 |
肺気腫 慢性呼吸不全 原発不明癌 |
1.肺気腫に伴う肺癌(腺癌) 2.嚥下性肺炎 3.脳梗塞 |
TA-0802 |
2008.02.09 |
原因不明の脳浮腫 |
脳炎 |
TA-0803 |
2008.02.15 |
認知症(レビー小体型の疑い) |
認知症 |
TA-0804 |
2008.03.06 |
肺血症 多臓器不全 |
1.感染症心内膜炎 2.瀰漫性肺胞障害による呼吸不全 |










