肺ドックのご案内
喫煙者の方は、肺がんの早期発見・治療のために、年1回、「肺ドック」によるチェックをお勧めします。
肺ドックで診断できる疾患
肺がん、慢性閉塞性肺疾患(COPD)など。
肺ドックは、単品で受けられます。
参考:所要時間)午後受診、単品の場合、 約1時間です。
また、人間ドックにオプションで付けることもできます。

正常肺

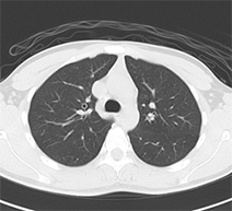
肺がん

慢性閉塞性肺疾患
コースの選び方
-
-

- ・胸部CT検査 ※
・喀痰細胞診(3日法)
・肺機能検査 (肺年齢つき)
-
-

- ・胸部CT検査 ※
・肺機能検査 (肺年齢つき)
※CTは、「装置の進歩による優れた被ばく低減技術も備わったことで、患者さん自身への身体的、精神的な負担も軽減されることが期待されます。検査時間はおよそ5分から10分となっています。
肺がんの中で腺がんの多くは、胸部CT検査で発見できます。
しかし、喫煙者に多い扁平上皮がんは、太い気管支の内側に発生することが多く、胸部X線やCT検査などには映らない場合があります。
太い気管支に発生した扁平上皮がんは、喀痰の細胞診検査で見つけやすいので、肺ドック プレミアムコースでは、喀痰細胞診をセットにしました。
喀痰細胞診は3日間連続で痰を貯めて出した場合、癌の検出率は、80%以上になります。1回だけでは検出率は低くなります。必ず3回、痰を貯めてお出しください。
事前に容器を送付します。受診3日前から痰を貯めはじめてください。
申し込み
2階健診室にて受け付けております。
又はお電話にてお申し込み下さい。
Tel:047-476-5134(直通)
健康管理課まで
※ご予約取り消しの際は、必ず検査日の3日前迄にご連絡下さい。










